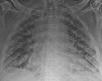
Radiografia del torace ( Rx torace). Permette di distinguere tra un edema polmonare interstiziale ed uno alveolare. La diagnosi si basa sulla clinica e sulla RX torace.
Per edema polmonare acuto (EPA) si intende un aumento dei liquidi nello spazio extravascolare (interstizio e alveoli) a livello del parenchima polmonare. Edema polmonare cardiogeno.
Ogni condizione che porti ad un’alterazione della struttura o della funzione del ventricolo sinistro del cuore può predisporre allo sviluppo di insufficienza cardiaca e di edema polmonare cardiogeno. Controlla lelenco completo delle possibili cause e condizioni ora! Parla con il nostro Chatbot per restringere la ricerca.
La prognosi dell’ edema polmonare acuto è strettamente dipendente dalle cause che lo hanno provocato. La prognosi più benigna è per edema polmonare acuto causato da overdose di droghe, la più infausta e per edema causato da shock. Embolia Polmonare – Esami strumentali Esami di 1° livello.
Nella maggior parte dei casi, i problemi cardiaci possono causare un edema polmonare cosi definito cardiogeno.
Una tipica radiografia del torace con edema polmonare può mostrare un aspetto più bianco su entrambi i campi polmonari.






